怎么知道新冠有没有感染到肺部

感染高峰过后能达到群体免疫吗(面对大面积的感染应该怎么做)

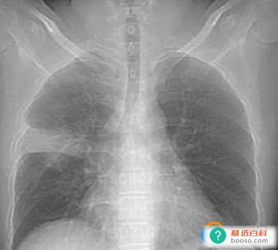
白肺意味着什么 严重吗

新冠发烧对肺有影响吗 会出现白肺吗

血氧饱和度怎么测(血氧饱和度的检测方式有哪些)

奥密克戎传播力有多强(奥密克戎属于新冠病毒感染的变异毒株)

奥密克戎突变已基本饱和了吗 奥密克戎的种类有多少种

奥密克戎转阴多久算安全

梦见被老板扇耳光(做生意的人梦见被老板打了一耳光)

已婚女人梦见雪地行走

梦见着火了又扑灭了

女人梦见核桃树上结满了核桃

梦见被别人拿刀追赶是什么意思

男人梦见两口棺材意味着

梦见下牙掉了两颗

梦见黄猫代表什么预兆

女人梦见香瓜什么意思

梦见树上的树叶绿绿的预示

梦见自己亲人死了又活了是什么意思

梦见老虎伤人

« < 2216 2217 2218 2219 2220 2221 2222 2223 2224 2225