北京让不让燃放烟花多区发布通告(过年期间可以燃放烟花爆竹吗)

张文宏建议家中常备血氧仪的原因

2023年是个什么年(2023年是什么年从老黄历)

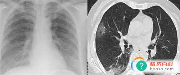
奥密克戎导致白肺的几率不高吗(白肺是什么如何预防白肺)

曾光回答如何自测肺部是否感染

中医中药对新冠有效吗(中医中药可以有效的缩短症状)

阳性后出现嗅觉味觉下降怎么办(嗅觉味觉下降失灵怎么办)

梦见分手很久的前女友(梦见前女友、预示着梦者)

梦见樱花树盛开樱花

梦见有人追我我拼命逃是什么意思

梦见盖楼房正在施工

梦见吃粉

女人梦见自己翻窗户(梦境解析:做生意的人梦见翻窗户)

女人梦见大楼倒塌成功逃生

做梦梦见踩到屎是什么意思

女人梦见别人在闹离婚

梦见自己回到初中上学

不同梦境:男人梦见自己偷金子藏起来

梦见自己租房子的吉兆(梦见自己租房子预示着你不久要出国工作)

梦见老公要跟我离婚是什么意思

« < 2203 2204 2205 2206 2207 2208 2209 2210 2211 2212