牙周炎一辈子就完蛋了吗(患了牙周炎以后的注意事项)
来源:网络 作者:茶衣 更新 :2023-02-21 02:14
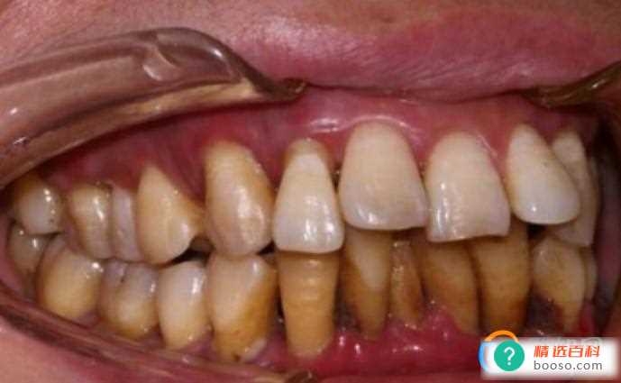
现实生活中假如有些人得了牙周炎,他们并没有进行治疗与控制,极有可能一辈子就完蛋了。由于牙周炎没有进行治疗与控制以后,牙就会松脱和脱落,这时就会对牙齿健康产生影响,最后就会危害一辈子。
01不会影响一辈子有部分群体尽管患上了牙周炎,可是他们展开了口腔保健和治疗,在日常生活之中也进行了有效的控制和减轻牙周炎。在这种情况下,不但可以有效的防止牙齿掉落,而且还能够维持牙齿健康。

02牙周炎治疗关键在哪儿其实大家在形成牙周炎以后,一定要合理的控制住牙周炎。要记住牙周炎造成的实际病因,像常见的口腔卫生欠佳、牙结石、菌斑等等因素。此外牙周炎既然已经产生在日常生活中,得用专用口腔清洁工具,及在医生指导下应用合理的药品来高效的减轻牙骨质。

03患了牙周炎之后的注意事项大家一旦形成牙周炎以后,要积极高效的治疗,要保持良好口腔卫生,要每日刷2次牙每次2分钟之上。使用牙膏时一定要挑选合适的牙膏,挑选牙刷时,建议使用软毛牙刷,而且要经常的洁牙。要注意口腔卫生,一旦发现口腔疾病要及时有效的治疗。
- END -
抖音怎么看是不是原创(怎么看一个视频是不是原创者的首发)
抖音怎么看是不是原创,现在玩抖音的人越来越多了,一些好玩的音乐常常被许多人拿来拍视频,那么怎么看一个视频是不是原...
如何查看自己有没有开通京东白条(怎么查看自己有没有开通京东白条)
如何查看自己有没有开通京东白条,相信很多大学生都听说过京东白条,可能也曾经接触过,那么,怎么查看自己有没有开通京东...
为什么有些蚕是黑色的(蚕之所以是黑色的,是因为蚕刚孵化出来的时候)
为什么有些蚕是黑色的,有些蚕之所以是黑色的,是因为蚕刚孵化出来的时候,卵上面的黑色素会附着在蚕的身体表面,属于正常...
狼尾蕨怎么修剪(修剪狼尾蕨的操作不难,一般是在每年开春时修剪)
狼尾蕨怎么修剪,修剪狼尾蕨的操作不难,一般是在每年开春时修剪,此时温度湿度适宜,修剪狼尾蕨后,能够使得植株快速恢复生...
结婚坐福的斧头需要几个(有的地方结婚买1把斧头,寓意是一斧(福)压百祸)
结婚坐福的斧头需要几个,结婚坐福的斧头数量根据各地风俗不同而有所区别。有的地区结婚斧头买一对,由新娘家买,放在出...
仙逆王林师傅是谁(王林如何一步一步走向巅峰,凭一己之力,扬名修真界)
王林师傅是天运子。王林化神时初遇,后王林前往天运星拜天运子为师,修天运之道,算尽天机。妄图利用王林达到第三步,在洞...
扑克牌21点游戏规则是什么?
扑克牌21点游戏规则是什么? 清雅清雅回答了:要点一:牌数。玩扑克牌二十一点需要的是52张牌,也就是一副牌去掉大小王就...
欲钱找花木兰是指什么生肖(欲钱找花木兰是指生肖鼠)
欲钱找花木兰是指生肖鼠。花木兰出生于公元412年,壬子年,鼠年。子鼠,十二生肖之一,地支的第一位。老鼠小巧玲珑、行动...
苹果14pro为什么比14重(苹果14pro比14重的原因)
苹果14pro为什么比14重,苹果14pro比14重的原因是iPhone 14 Pro采用不锈钢框架,使得它比标准的iPhone 14更重,标准款机...
v2b空间播放日志(v2ba空间日志播放)
v2b空间播放日志(v2ba空间日志播放)关于v2b空间播放日志这个很多人还不知道,今天菲菲来为大家解答以上的问题,现在让...